Our Work

Real Smiles.
Real Results.

Every transformation here began with a patient who saw their own dental health clearly for the first time. The Magik Method in action.

Before Invisalign treatment
After Invisalign treatment

Straighter in Just Six Months

This patient came to us concerned about crowding in her lower teeth and unsure which treatment would make sense for her lifestyle. After reviewing her options, we recommended Invisalign clear aligners, giving her a discreet, comfortable way to straighten her smile in just six months, without brackets, wires, or interruption to her routine.

Procedures

Invisalign Clear Aligner Therapy (6-Month Treatment)

Implant-supported bridge result

A Permanent Fix After a Failed Bridge

This patient arrived with a broken bridge on the upper left side and one clear goal: he wanted a fixed solution, not a removable denture. We placed four implants in the upper jaw during a single visit, allowed three months for healing and integration, and then restored the area with a custom 5-unit porcelain bridge that brought back both strength and confidence.

Procedures

4 Dental Implants (Same-Day Placement) · 3-Month Healing & Osseointegration · 5-Unit Implant-Supported Bridge

Before fixed bridge smile restoration
After fixed bridge smile restoration

From Partial Denture to a Natural-Looking Smile

After more than ten years of relying on a partial denture for a missing front tooth, this patient was ready for something more secure and more natural. Because implants were not the right option due to limited bone in the area, we designed a 6-unit Porcelain Fused to Zirconia bridge from canine to canine, restoring the look and function of his smile without the inconvenience of a removable appliance.

Procedures

6-Unit PFZ Fixed Bridge (Canine to Canine) · Cosmetic Smile Restoration

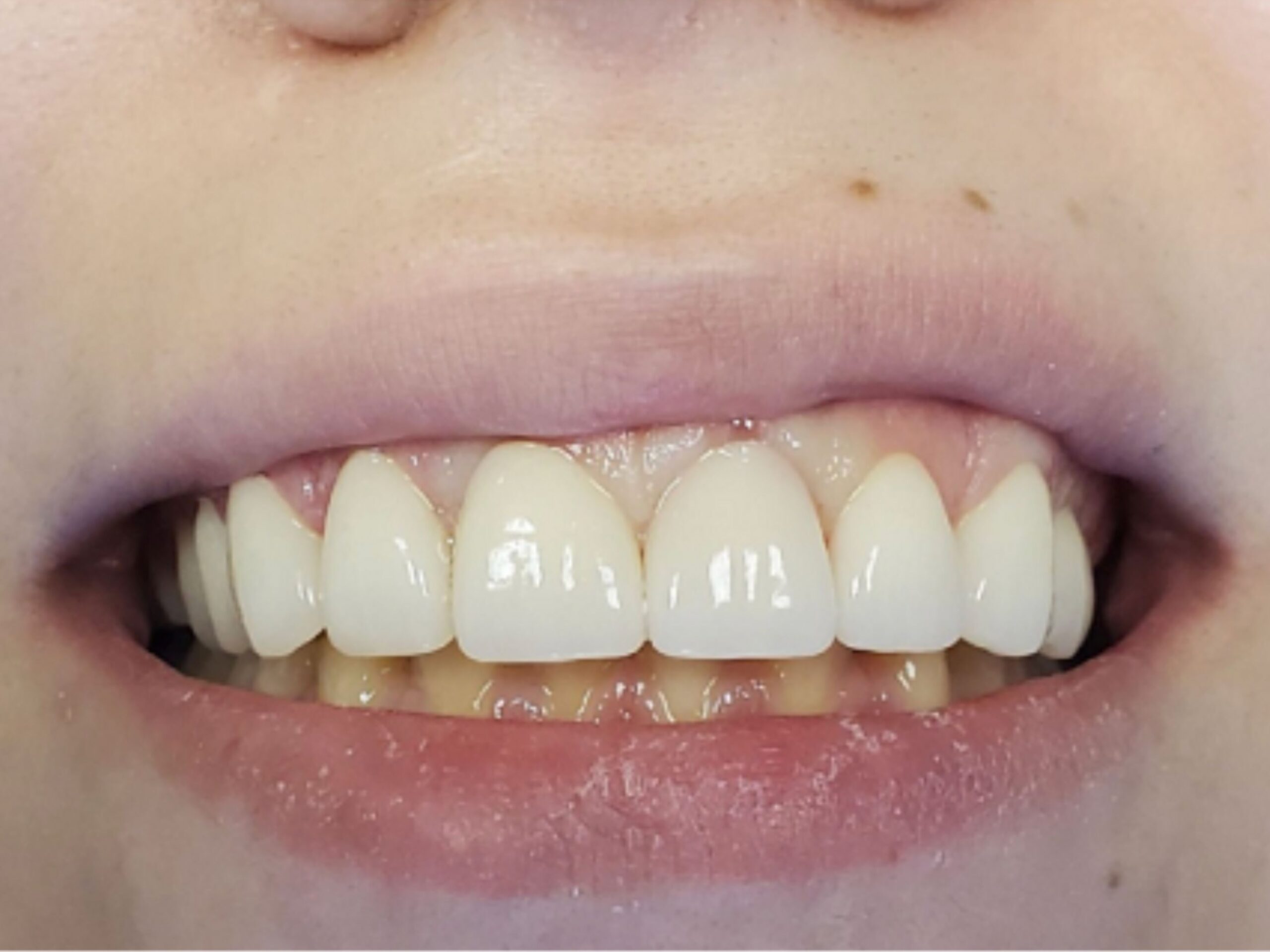
Before gummy smile correction and smile makeover
After gummy smile correction and smile makeover

Gummy Smile Correction and Full Smile Makeover

This patient had spent years feeling self-conscious about the amount of gum tissue visible when she smiled. We created a treatment plan that combined gum contouring surgery with a full smile makeover using 10 Porcelain Fused to Zirconia crowns, resulting in a more balanced, natural-looking smile she could finally feel proud of.

Procedures

Gum Contouring Surgery · Full Smile Makeover · Porcelain Fused to Zirconia Crowns (×10)

Urgent Request Detected

For faster assistance, we recommend calling us directly.

Call (732) 247-2211 Continue with form instead