Teeth
Whitening
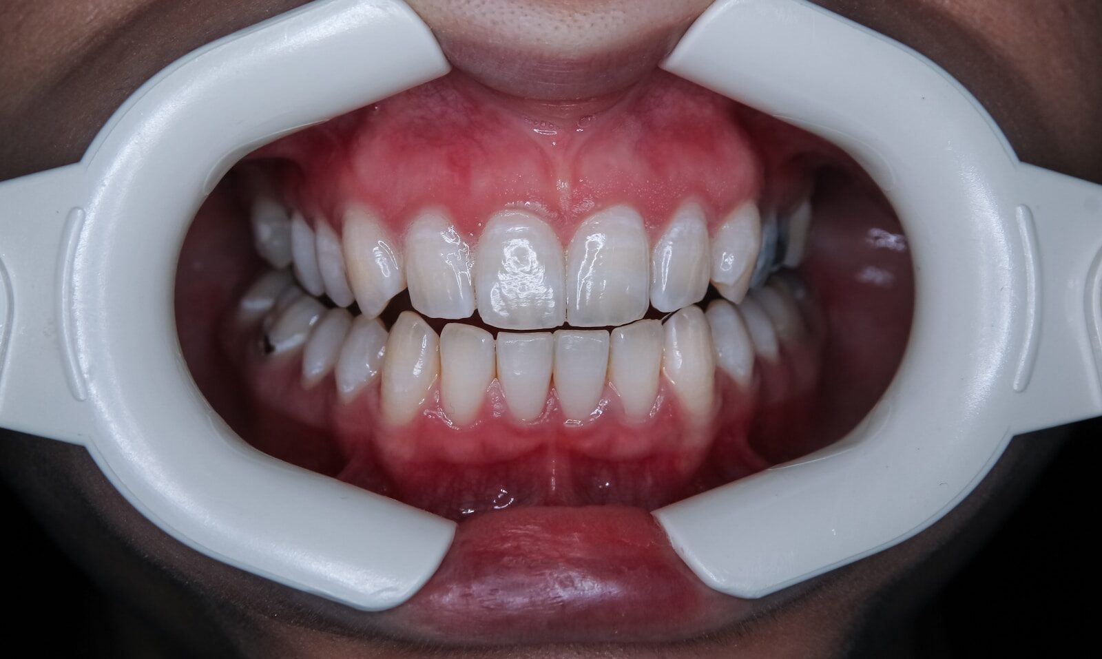
Preview your whitening result before treatment begins. Professional teeth whitening with visual shade matching at Dental Magik, East Brunswick NJ.
Your Coffee. Your Wine. Your Years. Undone.
Time, caffeine, and life dim even the healthiest smile. Professional whitening at Dental Magik restores brightness safely and effectively—but not before you see what’s possible. We use shade- matching technology to show you the projected result before your first session. Your expectations and your outcome—aligned before we begin.
Unlike over-the-counter strips that promise vaguely and deliver inconsistently, professional whitening delivers controlled, documented results under clinical supervision. And at Dental Magik, every shade of improvement is photographed and compared.
The Dental Magik Difference
Before treatment begins, we photograph your current shade under standardised lighting with colour-matched references. We show you the projected outcome based on the whitening system best suited to your enamel type and sensitivity. You see the expected result. You understand the timeline. You review the cost. Then you decide.
After treatment, we photograph the result under identical conditions. The improvement is documented, not debated.
What to Expect
In-Office Whitening: Approximately 60–90 minutes. Professional-grade gel applied under controlled conditions with gum protection. Results typically 4–8 shades brighter in a single visit.
Take-Home Whitening: Custom-fitted trays with professional-strength gel for gradual whitening over 1–2 weeks. Ideal for sensitive teeth or patients who prefer their own pace.
Both options include pre-treatment sensitivity assessment, post-treatment care guidance, and follow-up imaging to document your results.
Is Whitening Right for You?
Professional whitening works best on natural enamel. Existing restorations—crowns, veneers, fillings—will not change colour. During your consultation, we assess your situation and recommend the approach that delivers the most natural result. If whitening isn’t ideal for you, we’ll tell you. And show you why.
